| エドワーズ症候群 ( Edwars Syndrome) |
1:概念
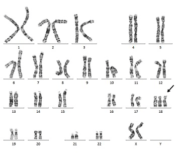
胎児の18番染色体が3本1組のトリソミー(三染色体性)となってしまうために発症します。
18トリソミー(Trisomy 18)とも呼ばれています。

(2)特徴
@頭部の特徴
胎児の顔は顎が小さく、耳が低い位置に付着するなど耳介奇形を伴います。
後頭部が突き出すという特徴的な顔貌.
首が短い、胸骨が小さいといった発育不全が見られます。
A胸部の特徴
エドワーズ症候群(18トリソミー)に多いのが心疾患です。
90%の胎児には先天性心疾患が見られます。
心室中隔欠損症、心内膜床欠損症、単心室、総肺静脈還流異常症などの重篤な心疾患
ファロー症候群といった合併症を伴うことがしばしばである。
2:疫学
(1)発生頻度
1/3000?1/10000人という報告がなされている。
(2)生存率
高齢出産になるほど発生するリスクは高まるが、妊娠中に50-90%が淘汰されてしまいます。
生後の生存率も低く、2ヶ月までには半数が亡くなり、1年生存率は10%程度です。
(3)寿命
ダウン症候群-----50〜60歳
エドワーズ症候群--50%は1ヶ月以内、90%は1年以内

3:症状
(1)頭部
後頭部突出 両眼隔離 口唇口蓋裂 小顎症 耳介奇形 耳介低位
耳介低位と屈曲拘縮
(2)胸部
先天性心疾患 心室中隔欠損症 心内膜床欠損症 動脈管開存 ファロー症候群 単心室
総肺静脈還流異常症 胸骨短小
(3)腹部
股関節開閉制限 狭骨盤 腹直筋ヘルニア 腹直筋離間 停留精巣(停留睾丸)、 大陰唇低形成
(4)四肢
屈曲拘縮 筋緊張 揺り椅子状足底 内反足
4:予後
約半数の患児が生後1週間以内に死亡し、1歳になるまで生存できる患児はわずか5〜10%です。
|
| 参考資料 |
スペシャルニーズデンティストリー

ダウン症の全てが分かる本
ダウン症ハンドブック
|
|