| 中東呼吸器症候群 (MARS:Middle East Respiratory Syndrome) |
| |
1:マーズ(MARS)について
(1)マーズとは
MERSコロナウイルス (MERS-CoV) により引き起こされるウイルス性の呼吸器疾患です。
2012年に中東へ渡航歴のある症例から発見された新種のコロナウイルスによる感染症であり、
最初はイギリス・ロンドンで発見されました。

2020年1月29日 日経新聞から引用
(2)感染拡大から現在まで
2012年に中東へ渡航歴のある患者からイギリス・ロンドンで発見されました。
2013年5月15日、WHOは、患者が入院したサウジアラビアの病院の2人(看護婦と医療関係者)への
「ヒト-ヒト感染」が初めて確認されたと発表しました。
2019年においてもサウジアラビアにおいて14人が感染し、そのうち5人が死亡しました。
WHOによれば2019年11月までに診断確定患者は2494人、死者は858人となっています。(致命率=34%)
(3)感染症法等
2014年7月16日に政令により指定感染症に指定されました。
2015年1月には二類感染症に指定され、全ての医師に対して、全ての患者の発生について保健所への届出が
義務付けられました。
また、疑似症と診断された患者は、保健所が感染症指定医療機関に移送する事が定められています。
2:感染様式
(1)原因ウイルス
MERSコロナウイルス(MERS-CoV)はSARSコロナウイルスとは異なる種類です。
ただし、MERSコロナウイルスは、SARSコロナウイルスと近縁のβコロナウイルス2cグループに属します。
MERS-CoVはヒトコブラクダに風邪症状を引き起こすウイルスで、ヒトに感染すると重症肺炎を引き起こすと
考えられています。

(2)感染経路
ヒトコブラクダがMERSコロナウイルスを保有しており、ヒトコブラクダとの濃厚接触がヒトへの感染リスクであると
考えられています。
ヒト−ヒト感染の効率は高くないと考えられるが、家族間や、医療機関における限定的なヒト−ヒト感染
(医療関連感染)も報告されています。
一部の患者から予想を超えて多くの二次感染が起こる「super spreading現象」も報告されています。
現時点では、動物との接触でヒトが感染したという証拠はありません。

3:疫学
(1)発生地域
2019年3月末時点で、世界で2,399人の確定患者が確認されています。
このうち2,008人(83.7%)はサウジアラビアからの報告です。
その他、地域での発生が確認されているのは、アラブ首長国連邦、ヨルダン、カタール、オマーン、クウェートなど
中東地域の諸国に限られています。
ヨーロッパや東南アジアからも報告があるが、いずれも流行地域で感染したと思われる例ばかりです。
2015年に韓国で186人の感染がありましたが、これも中東から帰国した1例に端を発した医療現場での
アウトブレイクでした。

(2)日本での感染状況
日本での報告例はありません。
(3)予後
致死率は34%と極めて高いが、報告されていない軽症例や不顕性感染例もある。
高齢者および糖尿病、腎不全などは重症化のハイリスクである。
4:症状
(1)潜伏期間
感染すると2日から14日の潜伏期を経たのち発症します。(中央値は5日程度)
(2)症状
無症状例から急性呼吸窮迫症候群 (ARDS) の重症例まであります。
発熱、咳嗽、肺炎、下痢などの消化器症状を呈します。
高齢者及び糖尿病、腎不全などの基礎疾患を持つ者での重症化傾向がより高くなります。
重症化すると、多臓器不全(特に腎不全)や敗血性ショックを伴う場合もあります。(致命率=34%)
致死率の高さにサイトカインストーム(高サイトカイン血症)の関与が疑われています。
また脳炎、腎炎も発症すると言われます。
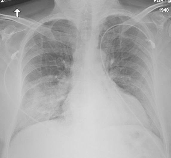
MERS患者の肺炎を示すX線写真
5:診断
(1)臨床的診断
患者発生地域が限局していることから、流行地への渡航歴があることや、ヒトコブラクダとの接触の有無から
この病気をを疑う事ができます。
(2)確定診断
鼻腔吸引液、鼻腔拭い液、咽頭拭い液、喀痰、気道吸引液、肺胞洗浄液、剖検材料などを材料として、分離・同定
による病原体の検出を行います。
または、検体から直接のPCR法による病原体の遺伝子の検出により診断します。
6:治療
現時点でヒトに対して有効性と安全性の確立した治療薬は有りません。
症状に応じて、対症療法を行います。
7:予防
手洗いなど一般的な衛生対策を心がけます。
流行地では、ヒトコブラクダなどの動物との接触をできる限り避けます。
未殺菌のラクダの乳など加熱不十分な食品を避けます。
|
| MARSの予防と口腔ケア |
| |
1:自分の感染予防
航空機などではサーモグラフィーによる体表温度スクリーニングが行われています。
しかし、韓国でのMERSの例では、MERS初期の発熱で38度以上の体温となることはそれほど多くなく、37.5度以上の
体温上昇すらも起こらない場合のあることが確認されており、限界があるとされています。
|
| 参考資料 |
| |
「中東呼吸器症候群(MERS)について」 厚生労働省
2012年新型コロナウイルス(MERS-CoV)に関する「よくあるご質問」 国立感染症研究所感染症疫学センター
『病気がみえる vol.6 免疫・膠原病・感染症』 医療情報科学研究所 
|