| トキソプラズマ感染症 (infection with Toxoplasam gondii) |
1:トキソプラズマ感染症
(1)トキソプラズマとは
@トキソプラズマ
アピコンプレックス門コクシジウム綱に属する寄生性原生生物の1種です。
幅2-3μm、長さ4-7μmの半月形の単細胞生物です。
細胞内寄生性であり、環境中で単独では増殖しません。
トキソプラズマの生活環は、終宿主内での有性生殖と中間宿主内での無性生殖のステージからなります。
有性生殖はネコ科動物の腸管上皮内でのみ成立します。
無性生殖はヒトや家畜など全ての温血動物で可能となります。

(2)トキソプラズマ感染症
ヒトを含む幅広い恒温動物に寄生してトキソプラズマ症を引き起こします。
通常は免疫系により抑え込まれる(不顕性感染)ため大きな問題とはなりません。
しかし、免疫不全の状態では重篤あるいは致死的な状態となり得ます。
特に妊娠初期に初感染した場合、胎児が重篤な障害を負うことがあります。
TORCH症候群
妊娠中に初めて感染すると胎児に障害を引き起こす病気です。
Toxoplasma(トキソプラズマ)
Other's(リンゴ病・梅毒など)
Rubella(風疹)
Cytomegalovirus(サイトメガロウイルス)
Herpes(ヘルペス)
これらの病気の頭文字をとって、「TORCH(トーチ)症候群」といいます。
参照、「風疹}へ
2:感染様式
(1)感染経路
ヒトに対する感染は、加熱の不十分な食肉(特に豚肉)に含まれる組織シスト、
あるいはネコ糞便に含まれるオーシストの経口的な摂取により生じます。
眼瞼結膜からも感染しますが、空気感染、経皮感染はありません。
(2)潜伏期間
症状が出るまでの潜伏期間は、経口摂取してから、最短で5日ほどで現れます。
3:疫学
(1)感染源
日本では主な感染源として従来、豚肉が重要視されてきました。
ブタのトキソプラズマ症の報告について少なくなってきているものの、依然として報告例があります
特に沖縄県においてはむしろ発生数に増加傾向が見られ、注意が必要です。
(2)感染状況
@宮崎県における妊婦の抗体検査による調査結果
0.25%が妊娠期間中にトキソプラズマ抗体が陰性から陽性へと陽転したとされて居り、妊娠中のトキソプラズマ感染
が推定されています。
4:症状
(1)先天性トキソプラズマ症
@妊娠中の女性がトキソプラズマに初感染した場合
トキソプラズマが胎盤を通過して胎児に垂直感染する可能性がある。
胎児への感染率は妊娠末期になるほど上がります。
胎内感染が起こった場合の重症度は、妊娠初期ほど高いとされています。
胎内感染の転帰は、不顕性から流死産まで様々であり、顕性感染の場合でもその重症度は様々です。

妊娠初期に感染した場合
母体が妊娠中時にトキソプラズマに初めて感染した場合、胎盤から羊水に入り胎児に感染して、生まれながら
にして感染している先天性トキソプラズマ感染になります。
母体への感染が妊娠初期であれば胎児への影響は強く、重症となりますが、感染率は低めです。
妊娠後期に感染した場合
逆に妊娠後期の感染率は高いものの、症状は軽度ですみます。
とくに、妊娠6ヶ月以降に母体が感染した場合、胎児への影響はほぼないといわれています。
しかし、生まれた時からから脳に髄液がたまる水頭症になることや、出生時は何の異常もなくても、発育不全や
精神発達が遅かったり、脳症のように重篤な病気に罹患したりと、成長とともに症状が表れてくることもあります。
先天性トキソプラズマ症の4徴候
水頭症、脈絡膜炎による視力障害、脳内石灰化、精神運動機能障害が4大徴候として知られています。

その他の症状
リンパ節腫脹、肝機能障害、黄疸、貧血、血小板減少等が見られることもある。
不顕性感染となった場合
眼病変などはおおよそ思春期頃まで遅発性の発症のリスクがあるとされています。
(2)後天性トキソプラズマ症
@ 急性感染
健康成人または小児が後天的にトキソプラズマに感染した場合、多くは無症状で経過します。
発症した場合、発熱、倦怠感、リンパ節腫脹などの非特異的な一過性の症状が起こります。
時に伝染性単核症様の病態を呈します。
通常、特異的IgGとIgMの抗体価測定により血清学的な診断を行います。
A 眼トキソプラズマ症
眼に孤発して発症する病気です。
先天性感染の再活性化で生じることが多く、後天性感染で発症することは稀です。
症状としては、視力障害、眼痛、羞明などが見られる。
B日和見トキソプラズマ感染症
免疫不全者では、体内に潜伏感染していたトキソプラズマが再活性化し、脳炎や肺炎や脈絡網膜炎などの重篤な
症状を引き起こす。
Cトキソプラズマ脳炎
臨床症状としては意識障害、けいれん、視力障害などがあげられる。
5:診断
(1)検査
@妊婦の感染を疑う場合
妊婦の抗体検査(IHA法、LA法など)、IgM抗体検査(ELISA法など)やIgGアビディティ(avidity,結合力)検査で、
胎児の感染リスクを評価します。
高リスクの場合は、羊水から原虫遺伝子をPCR法により検出することにより胎児感染診断を試みることがあるが、
確実な方法ではない。
出生後の診断のためには移行抗体消失後に児の血清検査を行う。
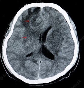
A脳炎の場合
頭部造影CTやMRIで、病変はリング状に造影される腫瘤として認められます。
トキソプラズマ脳炎の診断は、PCRによる髄液からの原虫遺伝子の検出によりますが、感度が低く、陰性であっても
感染は否定されません。

6:治療
(1)健康な人の場合で重篤な症状が出ていない場合
治療をしないことがほとんどです。
(2)妊娠中や免疫機能が低い方
抗菌薬のスピラマイシン、ピリメタミンとスルファジアジンの内服で治療します。
7:予防
(1)食肉の処理
食肉中のシストの不活化には、中心が67℃になるまでの加熱、あるいは中心が-12℃になるまでの凍結が有効
であるとされます。
電子レンジによる加熱では内部温度の十分な上昇が得られないため必ずしも確実であるとはいえません。
なお冷蔵処理では原虫の感染能を排除できないため注意が必要です。
まとめ
野菜や果物はよく洗って食べる
食肉は十分に加熱して食べる
(2)環境への配慮
@ガーデニングや土や砂に触れるとき
この時にはは手袋をする等の必要が有ります。
次亜塩素酸やエタノールを含む多くの消毒剤が無効であるため注意が必要です。
A猫との接触に注意する
猫の糞尿処理はできるかぎり避けます。
感染したネコがオーシストを排出するのは、初感染後数日からおよそ2週間までの間のみです。
また、排出されたオーシストが成熟し感染能を獲得するまでに少なくとも24時間を要するとされるます。
そこで、糞便の処理を毎日(24時間以内で)実施することにより感染力のあるオーシストとの接触を回避できます。
(このときトイレ容器は熱湯で消毒することが望ましい)。
よって、妊娠を理由に飼いネコを処分する必要はないが、猫の糞便の処理は妊婦以外の者が行うことが望ましい
と言えます。
|
| トキソプラズマ感染症と口腔ケア |
|
| 参考資料 |
|
|