お口大全 (お口の機能と病気と口腔ケア)  All the Oral-functions and Care
mail:info@aofc-ydc.com

誤嚥性肺炎ついて

      

トップページ お口の働き お口の病気 摂食嚥下障害  お口から入る病気  口腔ケア 
           
感染予防対策  消毒・滅菌  ワクチン   感染症の検査   感染対策器材  災害時の感染対策  


誤嚥性肺炎症 (Aspiratin Pneumonia)
  1:誤嚥性肺炎とは
 (1)誤嚥性肺炎とは    
     物を飲み込む働きを嚥下機能、口から食道へ入るべきものが気管に入ってしまうことを誤嚥と言います。
     誤嚥性肺炎は、嚥下機能障害のため唾液や食べ物、あるいは胃液などと一緒に細菌を気道に誤って吸引する
     ことにより発症します。
     吐物を大量に吸引した場合には胃酸による化学性肺炎を起こすことがあり、メンデルソン症候群と呼ばれます。

     メンデルソン症候群
        胃の中身を嘔吐し、それを吸い込んだ時におきる肺炎で、主たる原因は消化液である胃液を吸い込むことで
        おきる化学性肺炎です。
        メンデルソン症候群を発症するにはpHが2.5より低いこと、胃液は人の体重に換算して20ml程度吸い込んだ
        だけで発症します。


 (2)誤嚥とは
   @嚥下について
      摂食・嚥下機能は、食物を摂取するための行為・行動および解剖・生理学的なメカニズムですが、
      次の5段階で食物の摂取が可能となります。
      ここのどこかに問題が生じると、摂食嚥下障害や誤嚥性肺炎の危険性が発生します。

      先行期 : 認知期 行動期
      準備期 : 捕食 食塊形成
      口腔期
      咽頭期
      食道期  詳細は、摂食嚥下障害

   A不顕性誤嚥とは
      通常は誤嚥するとムセを生じます。
      これは気管内に異物が入った時の正常な反応です。
      この反応によって、肺炎や園との病気を防いでいます。
      しかし、誤嚥してもむせなかったり呼吸苦が起こらないなど誤嚥の徴候が捉えられないこともあります。
      これを不顕性誤嚥といいます。
      健常者でも睡眠中に無自覚に唾液などを誤嚥しているとされていることが有るとされています。


2:成因
 (1)発症のメカニズム
     誤嚥が起こっても必ず誤嚥性肺炎が発症するとは限りません。
     次の3つが重なると誤嚥性肺炎が発症します。

   @誤嚥
      嚥下機能の低下した高齢者、脳梗塞後遺症やパーキンソン病などの神経疾患や寝たきりの患者。

   A口腔環境が低下している人
      むし歯や歯周病が進んでいる人。
      あるいは口腔ケアが不十分な人。

   B感染に対する抵抗力が衰えている人
      栄養状態が不良であることや、免疫機能の低下などをおこしている人。

      


3:疫学
 (1)発症しやすい人
   @誤嚥しやすい人
      嚥下機能の低下した高齢者、脳梗塞後遺症や パーキンソン病などの神経疾患や寝たきりの患者に多く発生
      します。

   A口腔環境の低下している人
      肺炎球菌や口腔内の常在菌である嫌気性菌が原因となることが多いとされます。
      
      口腔内常在嫌気性菌
         Streptococcus anginosus group,Peptostreptococcus species,Prevotella species,
         Fusobacterium species

       

   B感染に対する抵抗力が衰えている人
      糖尿病、低栄養、寝たきりの人、免疫抑制のある人、など


 (2)誤嚥性肺炎の好発年齢
     多くは65歳以上の高齢者に発症します。

       金沢医科大学 HPより引用


 (3)誤嚥性肺炎による死亡者数(2018年 日経新聞)
     肺炎と誤嚥性肺炎による死亡者数は全体の3番目です。

      


4:症状
 (1)典型的な症状
     発熱、せき、濃い色の痰

 (2)その他の注意すべき症状
     元気が無い
     食事時間が長くなった
     食後に疲れてぐったりする
     ぼーっとしていることが多い
     失禁するようになった
     口の中に食べ物をためこんで飲み込まない、など


5:検査・診断
 (1)臨床症状  
     発熱、せき、濃い色の痰、などの症状で誤嚥性肺炎を疑います。

 (2)検査
   @血液検査
      白血球増加や炎症反応の亢進も重要な所見です。
        白血球数  (WBC?3300〜8800/mm3
        C反応蛋白 (CRP<0.3mg/dl)

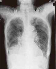
   A胸部X腺写真
      誤嚥が明らかな場合や嚥下機能低下が確認されいる患者で撮影します。
      胸部エックス線写真で肺炎像を確認することで診断できます。

      


6:治療
 (1)抗菌薬を用いた薬物療法
     抗菌薬による肺炎の治療を行います。
     呼吸状態や全身状態が不良な場合は入院して治療を行います。


 (2)口腔ケア
     同時に口腔ケアの徹底、嚥下指導も重要です。
     また、嚥下機能に悪影響を及ぼす薬物を内服していないかチェックし、その上で、嚥下反射を改善する効果が
     確認されているACE阻害薬などの適応を検討することがあります


7:予防
   誤嚥性肺炎の発症には次の3つが揃うことが必要です。
   
   @誤嚥
   A口腔環境の低下
   B感染に対する抵抗力の減退

   したがって、どれか1つでも無くせば、誤嚥性肺炎を防ぐことが出来ます。


誤嚥性肺炎と口腔ケア
  誤嚥性肺炎の予防と口腔ケア

誤嚥性肺炎の発症には次の3つが揃うことが必要です。
  @誤嚥
  A口腔環境の低下
  B感染に対する抵抗力の減退

したがって、どれか1つでも無くせば誤嚥性肺炎を防ぐ事が出来ます。

咬合や口腔機能を整えることで誤嚥は減少させる事が出来ます。
健全な口腔環境を整えるためには、歯科治療によってう蝕や歯周病の改善を行っておく事が第一に必要となります。
このことは同時に感染源となり得る口腔常在菌のコントロールにもつながります。

健全な口腔状態が維持できていれば、栄養の摂取も向上します。

すなわち、歯科治療を行って健全な口腔状態を作り、それを口腔ケアで維持すれば、
「正常な嚥下機能・良好な口腔環境・抵抗力のある身体」の全てが獲得できることになります。



参考資料
 
「Oral care and pneumonia」(口腔ケアと肺炎)
Takeyoshi Yoneyama, Mitsuyoshi Yoshida, Toshifumi Matsui, *Hidetada Sasaki, and the Oral Care Working Group Department of Geriatric and Respiratory Medicine, Tohoku University School of Medicine, Sendai, 980-8574 Japan
THE LANCET August 7 1999


  
『全ての病気は「口の中」から!』


  誤嚥性肺炎で死にたくなければのど筋トレしなさい (幻冬舎新書)


  誤嚥性肺炎を自力で撃退するNo.1療法 (のどを鍛えると長生きできる!)


  誤嚥性肺炎ケア基礎知識 (みどりの町のクマ先生)


  セミナー わかる! 摂食・嚥下リハビリテーション2巻誤嚥性肺炎の予防と対処法 (セミナーわかる!摂食・嚥下リハビリテーション)


  誤嚥性肺炎の包括的アプローチ 診断・治療から,栄養管理・呼吸リハ・嚥下リハ・口腔ケアまで


  誤嚥性肺炎抗菌薬だけに頼らない肺炎治療




「誤嚥性肺炎の起炎菌として高頻度に分離される口腔内細菌の薬剤感受性」  金子明寛他 日本化学療法学会雑誌 2007-9




 お口大全TOPへ

copyrightc 2021 YDC all rights reserved


mail:mail:info@aofc-ydc.com