| 脊髄小脳変性症(SCD:Spino-Cerebellar Degeneration) |
【総論】
1:概念
(1)脊髄小脳変性症とは
小脳を中心とした神経の変性によって生じる疾患を総称して脊髄小脳変性症と呼びます。
変性とは、はっきりした原因が不明の神経障害の一群のことです。
SCDの中には小脳以外にも大脳、脳幹、脊髄、末梢神経に変性がおよぶ場合があり、様々な症状がみられます。

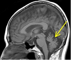
正常の小脳 脊髄小脳変性症
(2)SCD特徴
運動失調を主症状とする指定難病といわれる疾患の一つです。
原因が、感染症、中毒、腫瘍、栄養素の欠乏、奇形、血管障害、自己免疫性疾患などによらない病気です。
小脳および脳幹から脊髄にかけての神経細胞が徐々に破壊、消失していく病気であり、非常にゆっくりと症状が進行
していくのが特徴です。
2:脊髄小脳変性症の分類
日本では遺伝性が30%であり、非遺伝性が70%です。

(1)遺伝性脊髄小脳変性症(hSCD)
@常染色体優性遺伝性
脊髄小脳失調症(hSCA:hereditary Spino Cerebellar Ataxia)
2020年現在で、41型まで発見されています。
A常染色体劣性遺伝性
フリードライヒ(Friedreich)失調症
ビタミンE単独欠乏性失調症(AVED)
眼球運動失行と低アルブミン血症を伴う早発性小脳失調症(EOAH)
(2)非遺伝性(孤発性)脊髄小脳変性症
@皮質性小脳萎縮症
A多系統萎縮症
オリーブ橋小脳萎縮症
線条体黒質変性症
シャイ・ドレーガー(Shy-Drager)症候群
3:原因
原因が感染症、中毒、腫瘍、栄養素の欠乏、奇形、血管障害、自己免疫性疾患など以外のものになります。
(1)遺伝性のもの
近年、原因となる遺伝子が次々と発見されており、それぞれの疾患とその特徴もわかりつつあります。
(2)孤発性のもの
オリゴデンドログリアや神経細胞内に異常な封入体が存在することが分かっていました。
その主成分が、パーキンソン病患者の脳細胞に見られるレビー小体の構成成分でもあるα -シヌクレインという
たんぱく質の一種であることが判明しました。
4:疫学
(1)有病率
10万人あたり5〜10人、で日本では30,000の患者がいると推測されています。
孤発性が67.2%、
常染色体優性遺伝性が27%、
常染色体劣性遺伝性が1.8%、
遺伝歴のないSCDが最も多く、約2/3を占め、1/3は遺伝性のSCD です。
5:症状
(1)運動失調の症状(=小脳失調障害)
小脳の神経細胞の破壊が原因で起こる症状です。
@歩行障害
歩行時にふらつき、転倒することが多くなる。
症状が重くなると歩行困難になる。
A四肢失調
手足を思い通りに動かせなくなる。
箸をうまく使えない。
書いた字が乱れる。
症状が重くなると物を掴むことが困難になる。
B構音障害
呂律が廻らなくなる。
一言一言が不明瞭になり、声のリズムや大きさも整わなくなる。
症状が重くなると発声が困難になる。
C眼球振盪
姿勢を変えたり身体を動かしたりした時、何もしていないのに眼球が細かく揺れる。
D姿勢反射失調
姿勢がうまく保てなくなり、倒れたり傾いたりする。
(2)運動失調の症状2(=延髄機能障害)
延髄の神経細胞の破壊が原因で起こる症状です。
@振戦
運動時、または姿勢保持時に自分の意思とは関係なく、勝手に手が震える。(=錐体外路障害)
A筋固縮
他人が関節を動かすと固く感じられる。(=錐体外路障害)
Bバビンスキー反射
足の裏をなぞると指が反り返る。(=錐体路障害)

(3)自律神経の症状(=自律神経障害)
自律神経の神経細胞の破壊が原因で起こる症状です。
@起立性低血圧
急に起きるとめまいがする。
A睡眠時無呼吸
眠っているときに呼吸が停止する。
B発汗障害
C尿失禁
(4)不随意運動の障害
@ミオクローヌス
非常にすばやい動きをする。
A舞踏運動
踊っているような動きに見える。
Bジストニア
身体の筋肉が不随意に収縮し続ける。
その結果、筋肉にねじれやゆがみが生じ、思い通りに動かなくなる。
6:予後
脊髄小脳変性症の一つである多系統萎縮症の患者230人を対象にした研究結果によると、発症後平均約5年で
車いす使用となり、約8年で寝たきりの状態、罹病機関は9年程度と報告されています。
それ以外の脊髄小脳変性症では、症状の進行は緩慢であり、5年、10年、20年先と長いスパンで病気と向き合って
いく必要があります。
【各論】
1:遺伝性脊髄小脳失調症(h-SCA:hereditary SpinoCerebellar Ataxia)
(1)概念
日本における、SCDのなかで遺伝性SCAのものは約30%です。
ほとんどが常染色体優性遺伝性です。
(2)分類
(1)常染色体優性遺伝
原因遺伝子の発見順に、41の型が知られています。
脊髄小脳失調症1型(SCA1:spinocerebellar
ataxia type 1)〜SCA41まで存在します。
@SCA3
脊髄小脳失調症3型。
通称---マチャド・ジョセフ病(MJD:Machado-Joseph病)
ASCA6、SCA31、
純粋小脳失調型の疾患です。
BDRPLA(dentatorubral-pallidoluysian atrophy)
歯状核赤核淡蒼球Luys体萎縮症といわれています。
(2)常染色体劣性遺伝
欧米人に最多の遺伝性SCDであるFriedreich失調症が有名です。
@Friedreich失調症
1)初発症状
歩きづらさを主訴に発症することが多い。
進行すると、身体のバランスを保てずにふらついたり倒れたりします。
2)主な症状
運動失調症状:体のバランスを保てずふらついてしまうような状態。
末梢神経障害:主に手足の感覚の異常が起こります。
3)症状が進行した場合
構音障害、眼球運動障害、心臓の障害(心筋症、心不全、不整脈)などが起こります。
不整脈などが命に関わることもあります。
4)その他に見られる症状
糖尿病を合併することがあります。
側湾症や凹足など、体の変形を伴うこともあります。
(3)病因・病態生理
常染色体優性遺伝性ではCAGリピートの異常伸長、
劣性遺伝性ではCAAリピートの異常伸長により生じる。
(4)症状
(1)SCA6、SCA31など
@小脳失調症状
ほぼ小脳失調症状(失調性歩行、四肢協調運動障害、書字障害、失調性構音障害、眼振) を呈します。
および筋トーヌス低下に終始し、純粋小脳失調型といえる型です。
(2)MJD、SCA1、SCA2、DRPLAでは
小脳系以外の系統も障害される型です(多系統障害型)。
小脳症状に加えてパーキンソニズム、不随意運動、錐体路徴候(腱反射亢進など)、自律神経症候(起立性低血圧など)、
末梢神経症候などが様々な程度に起こります。
しかしながら一定の特徴を持った組み合わせで出現(時間経過とともに加わってくることが多い)します。
(5)検査所見
SCA6やSCA31では小脳虫部前方優位に小脳皮質の萎縮がみられます。
多系統障害型では脳幹の萎縮などが加わります。
(6)診断
家族歴が重要です。
家族歴がない場合、孤発性SCDとして、まず原因治療が可能な二次性小脳失調症を鑑別することが必要.
特徴的症候の組み合わせと経過により、各病型を臨床的にある程度診断することは可能.
しかし、経過を適切に予測し、遺伝相談を正しく行うために、遺伝子診断が必要.
(7)治療
根治療法は有りません。
リハビリテーションによる機能維持や、各症状に対する薬物療法といった対症療法を行います。
2:皮質性小脳性萎縮症 (CCA:cortical cerebellar atrophy)
(1)概念
中年期に発症する非遺伝性脊髄小脳変性症です。
(2)原因
原因は不明です。
(3)症状
小脳症状のみ呈する病気です。
構音障害、起立・歩行のふらつき等が起こります。
進行すると運動失調は四肢・体幹に及び、起立独歩困難となります。
ほかの神経系統の障害を伴いません。
(4)検査所見・診断
緩徐進行性の小脳性運動失調を主徴とする.
他の神経系統障害を伴わず、画像診断で萎縮が小脳に限局したものを診断
(5)治療
特異的な治療法はなく、リハビリテーションによる機能維持が主体となります。
3:多系統萎縮症 (MSA:multiple system atrophy)
(1)概念
成年期に発病する非遺伝性脊髄小脳変性症のなかで代表的。
おもに小脳系、黒質線条体系、自律神経系が障害される。
(2)分類
@オリーブ橋小脳萎縮症(OPCA:olivopontocerebellar atrophy)
初発症状が小脳性運動失調の場合。(無動、固縮、小刻み歩行、歩行障害)
A線条体黒質変性症(SND:striatonigral degeneration)
初発症状がパーキンソニズム(錐体外路症状)の場合。
Bシャイドレーガー症候群(SDS:Shy-Drager syndrome)
初発症状が自律神経障害の場合。(起立性低血圧)
(3)原因
原因は不明です。
(4)疫学
日本で、全脊髄小脳変性症の40%を占めます。
約11,000人が罹患していると推測されています。
(5)症状
@多系統萎縮症の基本的な神経症候
小脳性運動失調、パーキンソニズム、自律神経障害が基本的な症状です。
初発症状によって、OPCA、SND、SDSと名称が変わります。
これらは進行すると同一の所見(上記の3症状+錐体路徴候)が見られます。
Aオリーブ橋小脳萎縮症(OPCA)
初発症状で小脳症状が現れます。
進行とともにパーキンソニズムや自律神経症状、錐体路徴候(腱反射亢進など)が出現します。
さらに進行すると歩行困難や構音障害による口頭でのコミュニケーション困難となります。
発症後5〜10年で寝たきりとなって感染症や睡眠時呼吸障害などにより死ぬことが多いとされます。
A線条体黒質変性症(SND)
初発症状で無動や筋強剛といったパーキンソニズムが現れる.
進行とともに小脳症状や自律神経症状などが出現
Bシャイドレーガー症候群(SDS)
初発症状で起立性低血圧などの自律神経症状が現れます。
進行とともに小脳症状やパーキンソニズムなどが現れます。
(6)診断
@検査所見
1)OPCA
頭部CT・MRIで小脳・脳幹の萎縮がみられる
MRI(T2強調像)で橋底部に十字サインがみられる
2)SND
頭部MRIで被殻の萎縮が見られる
MRI(T2強調像)またはFLAIR像で被殻外側に線状の高信号域がみられる
頭部CT・MRIで小脳・脳幹の萎縮がみられる
3)SDS
OPCA、SNDと同様の所見を様々な程度に合併する
A診断
小脳性運動失調、パーキンソニズム、自律神経障害のいずれもが出現します。
そのうえで初発症状からOPCA、SND、SDSを診断します。
(7)治療
根治療法は有りません。
リハビリテーションによる機能維持や、各症状に対する薬物療法といった対症療法を行います。
補足:シャイ・ドレーガー症候群(SDS:Shy-Drager syndrome)
(1)概念
自律神経症状を主要症状とする脊髄小脳変性症の中の病型のひとつ.
多系統萎縮症(MSA)のひとつ.
他にオリーブ橋小脳萎縮症(OPCA)や線条体黒質変性症(SND)がある。
(2)症状
自律神経症状がゆるやかに、かつ潜行性にはじまり、次第に多彩かつ顕著になるのが特徴である。
さらに小脳症状、錐体外路症状も加わり、きわめてゆっくりと進行していく。
すべての患者にすべての進行症状がそろうわけではない。
@自律神経系の症状
1)起立性低血圧
立ちくらみ、めまいが初期症状。
進行すると失神をきたすようになり、ときに失神に伴う痙攣発作が現れることがある。
食後低血圧を起こすことも多い。
2)分泌異常
汗、涙、唾液の分泌の減少。
3)排尿障害
頻尿、夜間尿、排尿困難に始まり、尿失禁や膀胱内に尿が貯まっているにも関わらず尿が出ない症状(=尿閉)が
見られるようになる。
4)インポテンス(勃起不全)
5)便秘
これらは初期症状で見られることが多い。
A小脳機能に関する病状
1)歩行障害
歩行時にふらつく。
2)書字障害
字を書くことが以前より困難になる。
書いた文字が乱れる。
3)言語障害
言葉が不明瞭になる。
これらは発病後かなりたってから現れる症状である。
B錐体外路症状
1)筋固縮
他人が関節を動かすと固く感じられる。
2)動作緩慢
着脱衣、寝返り、食事動作といった動作が全般的に遅くなる。
3)振戦
自分の意思とは関係なく、勝手に手が震える。
これらはパーキンソン病と同じ症状であり、原因は線条体・黒質系の病変であると考えられる。
4)その他
物忘れやいびき、嚥下障害、睡眠時の無呼吸、視力の低下が見られることがごくまれにある。
|
|
脊髄小脳変性症と歯科医療
|
(1)口腔症状
@構音障害
連動失調による舌や口唇など構音器官の協調運動の不調和により構音障害を生じます。
構音障害とは
発語が唐突(爆発性)であり、急に速度が落ちたり、とぎれとぎれとなったり、発音が不明瞭でなめらかさを欠く
断綴性言語になることです。
A摂食嚥下障害
詳細は、「摂食嚥下障害」へ
(2)歯科治療時の注意点
@錐体外路症状(Parkinson症状)を認める場合
運動失調、体幹運動失調によるふらつき歩行、動作緩慢や固縮などの症状を認めます。
診療室内では移動の際の動線に配慮し、歩行の障害になるものをあらかじめ排除します。
必要であれば車いすによる移動も転倒の防止に役立ちます。
静止困難な場合、静脈内鎮静法の使用を考慮します。
A身体の彎曲や変形を認める場合
診療体位と姿勢のコントロールが必要であす。
タオルやクッションなどで身体と診療台を埋め、体幹を安定させると緊張の緩和に役立ちます。
B治療いすから立ち上がる際に円滑な動作ができない場合
焦らないように促します。
起立性低血圧などの自律神経症状に配慮します。
急がないよう声かけをする必要があります。
C知的能力障害によりコミュニケーションが困難な場合
口腔清掃は部分介助や全介助となり、自立が困難です。
D摂食嚥下障害などの錐体路症状がある場合
介助者による器質的、機能的口腔ケアが重要となります。
|
| 参考資料 |
脊髄小脳変性症 ガイドライン
|